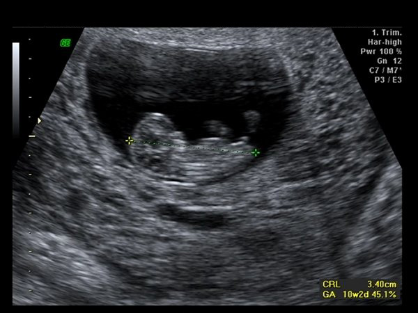
Har i dag været til scanning for første gang. (Lidt før tid - 10+1) og ville bare lige dele de dejlige billeder med jer. Den var meget livlig. Både ben og arme bevægede sig hele tiden
Er i den syvende himmel på sådan en dejlig solskinsdag 
Vedhæftede fotos (klik for at se i fuld størrelse)
Anmeld