Pige eller dreng

Spring til sidste ulæste indlæg
Følg denne tråd

Afstemning: Pige eller dreng

Du skal være logget ind, for at kunne deltage i afstemningen.



5.295 visninger
17 svar
1 synes godt om

Du kan svare anonymt i tråden
13. februar 2017

Anonym trådstarter

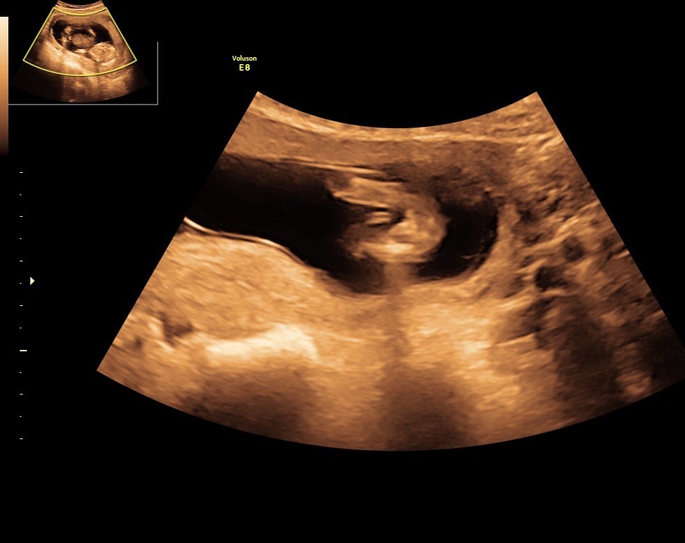
Som rent tidsfordriv, hvad tror i der gemmer sig i maven. Billedet er fra NF, hvor jeg var 12+5 uger henne. 

Hilsen Anomor 

Anmeld Citér

Køb et abonnement på Vores Børn

Magasinet til dig med børn på 0-12 år

Priser fra 149 kr.

13. februar 2017

Anonym trådstarter

I får selvfølgelig også lige et billede at gætte ud fra 

Vedhæftede fotos (klik for at se i fuld størrelse)

Anmeld Citér

13. februar 2017

Anonym trådstarter

Det bliver spændende at se, om flertallet får ret. Er der nogle af jer, der har stemt, der har erfaring med, at egne scanningsbilleder ligner mit og stemt ud fra det køn? 

Er selv i syv sind på, hvad der ligger derinde. Fornemmelsen siger umiddelbart en pige

Anmeld Citér

14. februar 2017

FHR

Anonym skriver:

Det bliver spændende at se, om flertallet får ret. Er der nogle af jer, der har stemt, der har erfaring med, at egne scanningsbilleder ligner mit og stemt ud fra det køn? 

Er selv i syv sind på, hvad der ligger derinde. Fornemmelsen siger umiddelbart en pige



Hej, 

jeg var lidt i tvivl, men jeg har stemt en dreng, for umiddelbart synes jeg "tappen" er lidt for stor til at være en pige. 

Men kan sagtens tage fejl  

vedhæfter kønsscannings billeder af vores lille prinsesse 

Vedhæftede fotos (klik for at se i fuld størrelse)


Anmeld Citér

14. februar 2017

Tascha26

Anonym skriver:

I får selvfølgelig også lige et billede at gætte ud fra 



Ligner en pige med de tre gyldne streger.. den mørke i midten og ee to hvide skamlæber. Jeg ventede en dreng sidst og billedet nede fra så anderledes ud  

Anmeld Citér

14. februar 2017

Anonym trådstarter

Tascha26 skriver:



Ligner en pige med de tre gyldne streger.. den mørke i midten og ee to hvide skamlæber. Jeg ventede en dreng sidst og billedet nede fra så anderledes ud  



haha  jeg har jo Googlet mig fattig i billeder og er ikke blevet klogere 

Jeg har ikke kendt kønnet på de andre børn, derfor har jeg af gode grunde intet samenlignings grundlag. Men sjovt er det at gætte.  Har også kunne læse mig til både nub teori og de 3 streger mm. 

Har du et billede af din søn? 

Anmeld Citér

14. februar 2017

Anonym trådstarter

FHR skriver:



Hej, 

jeg var lidt i tvivl, men jeg har stemt en dreng, for umiddelbart synes jeg "tappen" er lidt for stor til at være en pige. 

Men kan sagtens tage fejl  

vedhæfter kønsscannings billeder af vores lille prinsesse 



Jeg kan godt forstå, at de siger, at det er svært at sige med sikkerhed ift køn, så tidligt. Synes også jeg kan se 2 hvide streger på dine billeder. Gad vide, om der også er det med drenge eller det kun er spørgsmålet om, hvor langt det stritter ud

Anmeld Citér

14. februar 2017

Marts17

Billedet her er fra kønsscanning omkring 14+5 og er en pige. vi får det bekræftet ved misdannelsesscanningen, hvor vi ikke fortæller, at vi godt ved det i forvejen. Havde brug for dobbeltbekræftelse. 

Men det er så svært.. tilmodighed er en dyd. Synes først det lignede lidt jeres, men nu bliver jeg alligevel i tvivl 

Vedhæftede fotos (klik for at se i fuld størrelse)

Anmeld Citér

14. februar 2017

FHR

Anonym skriver:



Jeg kan godt forstå, at de siger, at det er svært at sige med sikkerhed ift køn, så tidligt. Synes også jeg kan se 2 hvide streger på dine billeder. Gad vide, om der også er det med drenge eller det kun er spørgsmålet om, hvor langt det stritter ud



Har du et billedet hvor man ser baby fra siden? 

Mit billedet nr. 2 er lidt drilsk, fordi hun har hånden mellem benene eller også er det "overkroppen" man kan se agtig i mellem benene. 

Jeg har set køns billede af drenge, hvor der også er en hvid streg igennem tappen. 

Men bliver spændende 

Anmeld Citér

14. februar 2017

FHR

Anonym skriver:



Jeg kan godt forstå, at de siger, at det er svært at sige med sikkerhed ift køn, så tidligt. Synes også jeg kan se 2 hvide streger på dine billeder. Gad vide, om der også er det med drenge eller det kun er spørgsmålet om, hvor langt det stritter ud



Undskyld mente selvfølgelige en sort streg igennem tappen, på køns billeder af drenge 

Anmeld Citér

[ Spring til toppen ]

Gå til forsiden

Gratis eksperthjælp

Det er gratis at søge hjælp hos vores eksperter - se alle eksperterne her.